概述:本文報道了I/II期臨床試驗中首例自體粒細胞集落刺激因子動員外周血CD34陽性細胞移植治療嚴重急性腎損傷的病例。細胞治療安全進行,患者在觀察期內腎功能改善,未出現重大不良事件。
急性腎損傷(Acute Kidney Injury, AKI)是指腎功能突然下降,導致廢物在體內積聚。它可能表現為虛弱、神志不清和排尿次數減少等癥狀。這種情況非常嚴重,需要及時接受治療。
作為臨床上常見的急危重病癥,AKI的發病率報告范圍廣泛,介于0.9%至20%之間,其嚴重程度直接關聯到高死亡率,范圍從25%至80%不等。特別值得注意的是,需要透析治療的AKI患者面臨更高的死亡風險,其死亡率約為50%至60%,這一比例是其他需透析治療病因患者的近兩倍。
- 詳情請瀏覽:急性腎損傷癥狀和原因是什么?及其治療方法

急性腎損傷的長期影響與治療挑戰
近年來,臨床研究揭示急性腎損傷(AKI)的影響遠超急性期,它可導致腎臟不完全修復,進而引發持續的慢性炎癥和纖維化過程,最終可能發展為慢性腎臟病(Chronic Kidney Disease, CKD),嚴重影響患者的生活質量和長期生存率。因此,AKI的有效治療不僅關乎急性期恢復,也是預防慢性腎臟疾病發展的關鍵。
目前,治療急性腎損傷的方法主要是藥物治療、支持療法、腎臟替代治療和新興的干細胞療法。但遺憾的是并不是每一種方法都對患者有效的,比如:
傳統治療主要依賴于藥物、支持療法和透析,這些方法雖然能夠暫時緩解癥狀,但對于促進腎臟組織的實際修復和再生能力有限。使用藥物治療急性腎損傷可能伴隨有副作用,如藥物毒性、過敏反應等,這些副作用可能進一步加重患者的病情。而在嚴重的急性腎損傷患者中,透析可能成為必需的治療手段。然而,透析并非無風險,長期透析可能導致血管通路問題、電解質平衡紊亂和營養不良等并發癥。
隨著生物科技的飛速發展,干細胞技術為AKI的治療研究開辟了新的道路。干細胞具有自我更新能力和多向分化潛能,理論上可以分化為腎臟細胞,參與腎臟組織的修復與再生。
- 造血干細胞在治療急性腎損傷展現出多重優勢:
- 不僅可以促進腎臟的修復與再生,通過釋放抗凋亡和抗炎因子改善腎損傷部位的微環境;
- 還能調節免疫反應,減少炎癥和纖維化程度;
- 尤其通過旁分泌作用激發內源性修復機制,如激活腎臟干細胞促進血管和細胞再生,綜合提升腎功能恢復效率,為急性腎損傷患者帶來了新的治療希望。
日本再生醫療:干細胞治療急性腎損傷患者23周后,腎功能明顯改善!
日本湘南鐮倉綜合醫院牽頭在行業期刊《干細胞轉化醫學》上發表了一篇關于Acute Kidney Injury Successfully Treated with Autologous Granulocyte Colony-Stimulating Factor-mobilized Peripheral Blood CD34-Positive Cell Transplantation: A first-in-Human Report(自體粒細胞集落刺激因子動員外周血 CD34 陽性細胞移植成功治療急性腎損傷:首次人體報告)的臨床研究成果。【1】
自體粒細胞集落刺激因子(Granulocyte Colony-Stimulating Factor, G-CSF)是一種用于促進白細胞產生的激素類藥物。在醫療應用中,G-CSF通常用于動員患者體內的造血干細胞進入外周血液循環,以便于采集和用于干細胞移植。
CD34陽性細胞是一類特定的干細胞,它們表達CD34分子,這個分子是干細胞和祖細胞的表面標記物。CD34陽性細胞在臨床上的應用主要集中在造血干細胞移植(HSCT)中。

患者情況:一名36歲男性因心力衰竭、肺水腫和嚴重升高的血壓(BP)224/116 mmHg入住湘南鐮倉綜合醫院。盡管他有多年高血壓病史,但直到入院時血壓才得到充分控制。入院前10個月,他的血清肌酐水平為1.5mg/dL。
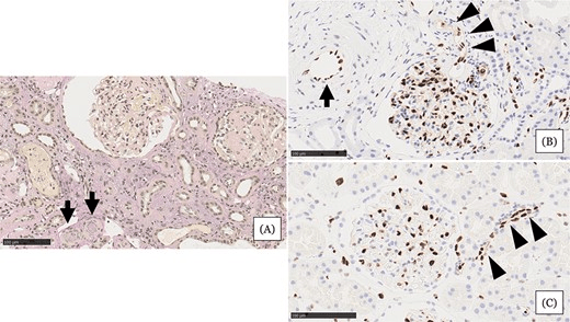
- 腎活檢示小動脈嚴重狹窄或阻塞,內皮損害嚴重,腎小球萎縮,間質細胞浸潤(圖1A)
- 與血壓正常的正常腎組織相比,血管內皮細胞(EC)細胞核等長排列整齊(圖1C)
- 患者腎組織中EC細胞核大小不一,細胞核明顯,小動脈內細胞核較少(圖1B)
綜合以上表現,診斷該患者急性腎損傷類型為難治性高血壓合并微血管病性溶血導致的急性慢性缺血性腎損害。

方法:我們為AKI患者實施了自體CD34陽性細胞移植。這是I/II期臨床試驗中第一例采用CD34陽性細胞劑量遞增方案進行自體G-CSF動員外周血CD34陽性細胞移植治療嚴重AKI的病例(試驗編號jRCTb030190231),以評估安全性和有效性作為主要和次要終點。
在本試驗中,設置了三個劑量(注入一條腎動脈):每組3名患者,低劑量(5×105/kg 體重)、中劑量(1×106/kg 體重)和高劑量(2×106/kg 體重)。確認安全性后,將CD34陽性細胞的劑量增加至下一個更高的劑量。
治療效果:
移植后23周,患者的血清肌酐水平顯著下降至2.96 mg/dL,表明腎功能得到明顯改善。
更為重要的是,患者原本難以控制的頑固性高血壓也得到了有效控制,僅需60mg硝苯地平和20mg奧美沙坦即可維持血壓穩定。
患者除移植后5天體溫短暫升高至38.1°C外,一般情況無異常。治療后早期血小板計數和血清白細胞介素 (IL)-6和IL-8水平短暫升高(表1)。患者在細胞移植后10天出院回家。

討論
本文介紹了一例因難治性高血壓導致的急性腎損傷病例,其中安全成功地進行了G-CSF動員的自體CD34陽性細胞移植。整個治療過程中未觀察到重大不良事件 (AE)。據我們所知,這是人類急性腎損傷的首例自體 CD34陽性細胞移植病例。
CD34陽性細胞具有血管生成潛力,因為它們具有血管內皮祖細胞譜系,但它們在腎損傷中的腎小管生成中不起作用。在一項異體共生實驗中【2】,血液來源的造血細胞沒有促進腎小管生成,而是作為單核細胞/巨噬細胞譜系植入腎間質空間。
CD34陽性細胞還具有抗炎潛力。【3】因此,考慮到AKI的缺血和炎癥性質,CD34陽性細胞移植可能被視為 AKI的新治療工具。
事實上,除缺血之外的其他炎癥過程也被認為是難治性高血壓中AKI的機制。因此,CD34陽性細胞是通過血管生成和抗炎潛力發揮腎臟保護作用,而不是通過腎小管生成。除了急性腎損傷 (AKI) 之外,多種類型的缺血性器官損傷,包括嚴重肢體缺血、心肌缺血和中風都已通過CD34陽性細胞移植成功治療。
結論
我們介紹了第一例用G-CSF動員的自體外周血CD34陽性細胞移植治療的嚴重AKI病例。在細胞治療后的前 23周內未觀察到嚴重不良事件,患者的血清肌酐水平繼續逐漸改善。這些首次在人體上獲得的數據對于 AKI治療的細胞移植領域具有重要意義。
隨著研究的深入和技術的成熟,我們有理由相信,干細胞治療將在急性腎損傷治療中發揮越來越重要的作用,為急性腎損傷患者開辟新的道路。
【1】Hiroyuki Suzuki, Takayasu Ohtake, Toshitaka Tsukiyama, Marie Morota, Kunihiro Ishioka, Hidekazu Moriya, Yasuhiro Mochida, Sumi Hidaka, Tsutomu Sato, Takayuki Asahara, Shuzo Kobayashi, Acute Kidney Injury Successfully Treated with Autologous Granulocyte Colony-Stimulating Factor-mobilized Peripheral Blood CD34-Positive Cell Transplantation: A first-in-Human Report, Stem Cells Translational Medicine, Volume 10, Issue 9, September 2021, Pages 1253–1257, https://doi.org/10.1002/sctm.20-0561
【2】Dekel B, Shezen E, Even-Tov-Friedman S, et al. Transplantation of human hematopoietic stem cells into ischemic and growing kidneys suggests a role in vasculogenesis but not tubulogenesis. Stem Cells. 2006;24:1185-1193.
【3】Abd-Allah SH, Shalaby SM, Abd-Elbary E, et al. Human peripheral blood CD34+ cells attenuate oleic acid-induced acute lung injury in rats. Cytotherapy. 2015;17:443-453.
免責說明:本文僅用于傳播科普知識,分享行業觀點,不構成任何臨床診斷建議!杭吉干細胞所發布的信息不能替代醫生或藥劑師的專業建議。如有版權等疑問,請隨時聯系我。
版權說明:本文來自杭吉干細胞科技內容團隊,歡迎個人轉發至朋友圈,謝絕媒體或機構未經授權以任何形式轉載至其他平臺,轉載授權請在網站后臺下方留言獲取。
掃碼添加官方微信