近日,國健清科生物醫藥科技(北京)有限公司(以下簡稱“國健清科”)宣布,其自主研發的“人胎盤來源3D間充質干細胞(MSC)注射液”正式獲得國家藥品監督管理局(NMPA)臨床試驗默示許可(IND)。這一突破性進展標志著全球首款基于無載體懸浮培養技術制備的新一代3D 間充質干細胞藥物進入臨床階段,為急性缺血性腦卒中患者帶來全新治療希望。
在全球每6秒就有一人因中風致殘的今天,干細胞治療以其突破性修復機制,為腦卒中患者開辟了一條從“短期功能恢復”到“長期神經重塑”的全新路徑。

那么,干細胞治療中風的短期效果和長期效果怎么樣?干細胞通過什么原理和機制維持中風的短期療效和長期療效?哪些指標可以評估干細胞治療中風的短期療效和長期療效?又是哪些因素影響了干細胞治療中風的持續性。本文基于臨床試驗數據,深度解析干細胞治療從短期神經損傷降低到長期影像學改善,為患者與醫療從業者提供科學決策依據。
干細胞治療中風的六大關鍵性機制
1、神經保護與抗凋亡作用:干細胞通過分泌神經營養因子(如BDNF、GDNF)減少神經元凋亡,保護受損腦組織。例如,間充質干細胞(MSCs)的抗炎和抗氧化特性可減輕缺血再灌注損傷,降低腦細胞死亡速度。研究顯示,未經治療的中風患者每分鐘損失約190萬個腦細胞,而干細胞治療能顯著延緩這一進程。
2、免疫調節與抗炎作用:干細胞通過調控免疫系統,抑制促炎因子(如TNF-α、IL-6)的釋放,同時增加抗炎因子(如IL-10),從而減輕腦損傷后的炎癥反應。例如,MSCs可抑制T細胞活化和白細胞浸潤,改善局部微環境。這種免疫調節作用在中風亞急性期尤為重要,能延長治療窗口期。
3、促進血管生成與改善血流:干細胞通過分泌血管內皮生長因子(VEGF)、成纖維細胞生長因子(bFGF)等,刺激新生血管形成,增加缺血區域的血液供應和氧氣/營養輸送。動物實驗顯示,移植的干細胞能顯著增強受損腦區的血管密度。這一機制對恢復腦組織代謝和功能重建至關重要。
4、神經再生與細胞替代:部分干細胞可分化為神經元、星形膠質細胞等神經細胞,直接替代死亡細胞并整合到宿主神經網絡中。例如,神經干細胞(NSCs)和誘導多能干細胞(iPSCs)在動物模型中成功分化為功能性神經元,恢復突觸傳遞。但臨床數據顯示,間充質干細胞主要通過旁分泌作用而非直接分化發揮作用。
5、旁分泌作用與信號通路調控:干細胞釋放的外泌體、細胞外囊泡等含有多種生物活性物質(如miRNA、蛋白質),通過激活內源性修復機制促進恢復。這些因子可調節PI3K/Akt、Wnt等信號通路,促進神經突觸可塑性及軸突再生。例如,MSCs衍生的外泌體被發現能促進神經功能恢復。
6、支持內源性修復:干細胞通過增強內源性神經干細胞的增殖和遷移(如通過CXCR4/SDF1-a途徑),激活腦室下區和海馬等區域的神經發生。此外,干細胞移植可改善血腦屏障完整性,減少膠質瘢痕形成,為修復創造有利條件。
評估干細胞治療中風短期療效和長期療效的指標有哪些?
一、短期療效評估指標(1-12個月)?
?美國國立衛生研究院卒中量表(NIHSS)?:量化神經功能缺損程度(0-42分,分數越低越好),評估運動、語言、意識等核心功能恢復速度
改良Rankin量表(mRS):?評估患者日常活動能力(0-6分,0分表示無癥狀),重點關注治療后90天內功能獨立性的提升
Barthel指數(BI)?:衡量日常生活自理能力(0-100分,分數越高越好),反映短期生活功能恢復效果。
運動功能評分(Fugl-Meyer/FMA)?:針對肢體運動能力(上肢/下肢)進行量化評估,常用于3個月內的運動恢復追蹤。
?影像學指標(MRI/CT)?:通過腦梗死體積、病灶變化等客觀數據驗證短期治療效果。
?二、長期療效評估指標(12個月以上)?
功能獨立性測量(FIM)?:綜合評估患者長期生活自理能力(如進食、穿衣、如廁等),跟蹤1年以上的功能維持情況
神經再生與血管生成指標:通過MRI觀察神經回路重建、血管密度等,驗證干細胞長期修復機制
復發率與生存率:評估干細胞治療對中風復發的抑制作用及長期生存獲益。
生活質量量表(QOL)?:通過社交活動、心理健康等維度綜合評估患者長期生活質量
安全性監測:長期跟蹤致瘤性、免疫排斥等潛在風險,確保治療安全性
三、安全性評估指標
- ?急性不良反應:短暫發熱(發生率<5%)、注射部位反應(<2%),均在48小時內消退。
- ?長期安全性:5年隨訪未發現腫瘤形成或免疫排斥事件,實驗室指標(肝腎功能)無異常波動。
干細胞治療中風:短期效果與長期跟蹤臨床案例全解讀
短期療效指標:神經損傷降低和日常生活能力提升(1-12月)
2021年2月16日,成均館大學三星醫療中心神經內科的研究人員在國際期刊《Psychiatry》上發布了一篇《靜脈注射間充質干細胞治療缺血性中風的療效和安全性》的研究結果。【1】
間充質干細胞治療三個月后,患者的運動功能改善。

運動功能改善:3 個月時兩組之間的 mRS 評分變化沒有顯著差異。然而,二次分析顯示,與對照組相比,間充質干細胞組的下肢運動功能有顯著改善(運動指數的腿部評分變化,這在預測恢復潛力較低的患者中尤為明顯。
安全性評估:沒有發生嚴重的治療相關不良事件。
結論:靜脈注射預處理的自體間充質干細胞和自體血清對慢性重度中風患者是可行且安全的。可以達到干細胞治療中風短期療效的目標。
2025年2月10日,臺北醫學大學醫學科技學院的研究人員在國際期刊《Cell transplantation》上發布了一篇《通過不同給藥途徑治療中風的干細胞療法:比較研究的薈萃分析》的研究結果。【2】
干細胞治療6個月后,患者的神經損傷嚴重程度下降,生活質量上升。

NIHSS評分分析:NIHSS評分高,后續左移,評分下降,凸顯干細胞治療降低中風嚴重程度的潛力。干預組與對照組基線可比。3個月和12個月隨訪無顯著差異,3個月隨訪非IV亞組有改善趨勢。6個月和最后隨訪有顯著差異,總體SMD分別為-0.42和-0.24,主要受Li等人研究推動。
BI評分分析:基線森林圖左移,BI得分低,6個月和最后隨訪右移,得分增加。所有森林圖低異質性,亞組分析中,非靜脈注射亞組在6個月和最后隨訪有顯著益處。
改良 Rankin 量表:基線和3個月隨訪森林圖左移,mRS評分低,表明基線各組可比且干預后早期改善有限。6個月隨訪右移,有顯著改善,后續時間點又左移。
安全性評估:這項薈萃分析顯示,干細胞療法可能降低死亡幾率,尤其是在靜脈注射組中,死亡幾率降低了約52%,不良事件(包括神經系統和全身并發癥)在干預組和對照組之間無顯著差異,表明干細胞治療的安全性較高。
結論:NIHSS、BI 和 mRS 評分顯著改善,尤其是在 6 個月和 12 個月的隨訪中非 IV 組中,這表明治療效果有所延遲但有所增強。該研究降低了中風患者的死亡率,治療的安全性較高。可以達到干細胞治療中風短期療效的目標。
長期療效:生活能力和影像學結果得到改善(12個月以上)
2012年2月16日,解放軍303醫院干細胞中心在國內期刊《咸寧學院學報》上發布了一篇《間充質干細胞治療老年中風患者60例臨床分析》的研究結果。【3】
間充質干細胞治療后,患者的神經損傷水平持續改善,運動功能改善,生活能力顯著提升。

ESS評分(神經損傷評分):治療組由治療前的35.2±5.6分提高到治療后的22.1±4.2分,對照組由治療前的34.8±5.8分提高到治療后的28.7±4.5分。
BI評分:治療組由治療前的42.5±8.7分提高到治療后的76.3±9.4分,對照組由治療前的43.1±8.9分提高到治療后的60.5±10.2分。

Fugl-Meye評分:治療組由治療前的24.5±4.8分提高到治療后的48.7±5.2分,對照組由治療前的24.2±4.6分提高到治療后的36.5±5.1分。
安全性評估:間充質干細胞不容易引起宿主的免疫排斥,本研究中未發現嚴重排斥反應而終止治療的病例。
結論:間質干細胞治移植后老年中風患者療效顯著,且無明顯毒副作用。可以達到干細胞治療中風長期療效的目標。
2019年6月26日,解放軍總醫院附屬八一腦科醫院在國際期刊《Stem Cell Translational Medicine》上發布了一篇《神經干細胞穩定腦內移植治療缺血性中風所致癱瘓》的研究結果。【4】
神經干細胞移植治療24個月后,患者運動能力和日常生活能力改善,神經受損程度持續降低并且影像學也持續改善。

FMMS(運動評估表):在第 12 個月的隨訪中,平均 FMMS(總分 100)較基線提高了 16.0 分。FMMS 改善在第 1、3、6 和 9 個月也具有統計學意義。
MRS(日常活動能力):2 個月隨訪時的平均 MRS 較基線提高了 0.8 分。第 3 和第 9 個月的 MRS 改善也具有統計學意義。
NIHSS(神經損傷水平):12 個月隨訪時的平均 NIHSS 較基線提高了 3.1 分,具有統計學意義。

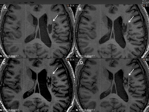
影像學檢查:在 6 個月的隨訪中,所有 9 名受試者均觀察到新組織,源自腦軟化梗塞腔。該腔內組織外觀具有以下特征:短期活力(術后第一次 MRI 與基線相比的組織外觀)—9 例中有 9 例;生長(術后至少兩次 MRI 中新組織增加)—6 例中有 6 例;穩定(術后至少兩次 MRI 中新組織沒有變化;即生長平臺期,最長為 24 個月)—6 例中有 5 例;無法獲得 24 個月后的長期活力。

(A)基線時,(B) 6 個月隨訪時,(C) 12 個月隨訪時,(D) 24 個月隨訪時。
安全性評估:研究期間報告了 35 起不良事件 (AE),所有參與者均接受 28 天口服他克莫司以維持 4-8 ng/ml 的血藥濃度,以抑制免疫反應,并在術后服用 14 天的潑尼松作為消炎措施。所有參與者對這兩種藥物的耐受性都很好。所有患者均在 14 天后按計劃出院。隨后對 9 名受試者的人類白細胞抗原 (HLA) I 類和 II 類抗原抗體出現情況的監測結果均為陰性。
結論:將人類脊髓神經干細胞移植到穩定中風患者的梗塞周圍區域耐受性良好,并且通過三種不同的臨床結果測量表明具有初步臨床益處。可以達到干細胞治療中風長期療效的目標。
影響干細胞治療中風長期療效的因素有哪些?
一、干細胞類型與功能特性
分化潛能與旁分泌效應:
- 間充質干細胞(MSCs)通過旁分泌神經營養因子(如VEGF、BDNF)促進神經再生和血管生成,但其直接分化為神經細胞的能力有限。
- 相比之下,神經干細胞(NSCs)雖能分化為神經元,但在缺血微環境中易受活性氧和炎癥因子抑制,需結合基因修飾(如過表達BDNF)增強存活率。
- 臍帶血干細胞因富含內皮祖細胞,在急性期穿透血腦屏障能力更強。
來源差異:骨髓MSCs隨年齡增長增殖能力下降,而臍帶或脂肪來源的MSCs活性更高,更適合老年患者
二、治療時機與干預階段
?急性期與慢性期的窗口差異
- ?急性期(48-72小時)?:干細胞通過抑制炎癥風暴和保護血腦屏障減少繼發性損傷,但需快速干預。
- ?亞急性期(1-3周)?:神經可塑性高峰期,干細胞促進突觸重塑和神經回路重建,韓國研究顯示此階段干預可提升運動功能恢復率。
- ?慢性期(6個月后)?:側重長期神經重塑,但需克服膠質瘢痕和微環境抑制。
?時間窗與細胞歸巢效率:卒中后血腦屏障通透性隨時間下降,靜脈注射MSCs在急性期歸巢率可達病灶的1%-3%,而動脈內注射或腦內局部注射可提升至5%-10%。
三、給藥途徑與細胞遞送策略
靜脈注射 vs. 非靜脈途徑
- ?靜脈注射:操作簡便但細胞易滯留肺部,長期療效依賴旁分泌效應,適用于大面積梗死。
- ?動脈內/腦內注射:精準遞送提升病灶細胞濃度,改善運動功能評分(如Fugl-Meyer評分提升50%),但需規避出血風險。
聯合治療策略:結合靜脈全身調節與局部靶向注射(如納米載體輔助),可協同抑制炎癥并促進長期神經再生。
四、患者個體差異與基礎疾病
?年齡與干細胞功能:老年患者內源性神經干細胞增殖能力下降,且自體MSCs分泌神經營養因子減少,需優先選擇年輕供體或異體臍帶MSCs。
基礎血管狀態:合并動脈粥樣硬化的患者,干細胞需同時修復血管內皮功能。MSCs通過調節脂代謝(降低LDL、提升HDL)和抑制斑塊炎癥(IL-10上調、TNF-α下調)改善長期預后。
免疫狀態與微環境:過度炎癥反應(如小膠質細胞M1極化)會加速干細胞凋亡,而MSCs的免疫調節能力(分泌IL-10、TGF-β1)可重塑抗炎微環境,延長修復效應。
結論
綜上所述,干細胞治療中風在短期效果上已展現出令人矚目的積極變化,從提升神經功能評分,到改善影像學可見的腦部損傷區域,都為患者帶來了新的希望。而長期跟蹤結果更是顯示出其可持續性的療效,部分患者在長達數年的觀察期內持續保持功能改善,生活質量顯著提升。
未來,隨著研究的深入、技術的優化以及更多大規模臨床試驗的開展,干細胞治療有望在中風治療領域中占據重要地位,為廣大中風患者帶來全面康復的曙光,徹底改寫中風治療的格局,讓更多患者重獲健康生活。
參考資料:
1、Chung JW, Chang WH, Bang OY, Moon GJ, Kim SJ, Kim SK, Lee JS, Sohn SI, Kim YH; STARTING-2 Collaborators. Efficacy and Safety of Intravenous Mesenchymal Stem Cells for Ischemic Stroke. Neurology. 2021 Feb 16;96(7):e1012-e1023. doi: 10.1212/WNL.0000000000011440. Epub 2021 Jan 20. PMID: 33472925.
2、Mulia GJ, Anna N, Wu JC-C, et al. Stem cell therapy for stroke via different routes of administration: a meta-analysis of comparative studies. Cell Transplant. 2025;34. doi:10.1177/09636897251315121
3、季興,趙和泰,張效北,等.間充質干細胞治療老年中風患者60例臨床分析[J].咸寧學院學報(醫學版),2012,26(01):31-32.DOI:10.16751/j.cnki.2095-4646.2012.01.060.
4、Zhang G, Li Y, Reuss JL, Liu N, Wu C, Li J, Xu S, Wang F, Hazel TG, Cunningham M, Zhang H, Dai Y, Hong P, Zhang P, He J, Feng H, Lu X, Ulmer JL, Johe KK, Xu R. Stable Intracerebral Transplantation of Neural Stem Cells for the Treatment of Paralysis Due to Ischemic Stroke. Stem Cells Transl Med. 2019 Oct;8(10):999-1007. doi: 10.1002/sctm.18-0220. Epub 2019 Jun 26. PMID: 31241246; PMCID: PMC6766600.
免責說明:本文僅用于傳播科普知識,分享行業觀點,不構成任何臨床診斷建議!杭吉干細胞所發布的信息不能替代醫生或藥劑師的專業建議。
版權說明:本文來自杭吉干細胞科技內容團隊,歡迎個人轉發至朋友圈,謝絕媒體或機構未經授權以任何形式轉載至其他平臺,轉載授權請在網站后臺下方留言獲取。
掃碼添加官方微信