隨著新冠病毒在全球范圍內大規模傳播,世界各地患者均有增多,目前來看感染新冠病毒后每個人的癥狀和表現、好轉時間、轉陰時間、轉陰后身體是否有后遺癥都有所區別,因個人而異。
而我們的問題逐漸從擔心“陽了沒?有沒有藥”過渡到了“陽后會不會留有后遺癥?后遺癥能否根治?”上來。

根據外媒報道,日本九州再生醫學特別委員會批準一項關于使用自體脂肪源間充質干細胞治療新冠肺炎后遺癥的方案。這項由韓國干細胞研究所開發的專利技術,經過各領域16名專家組成的委員會經過120天的審查和3次篩選,通過了當前新冠肺炎后遺癥再生醫療計劃的審查。開發這一療法的干細胞研究所所長表示:“這項批準得到了再生醫學特別委員會的大力支持,相信間充質干細胞通過抗炎和組織再生作用治療新冠肺炎后遺癥會有很好的效果”。
到底什么是新冠后遺癥?
“新冠后遺癥”的說法其實并不準確,更準確的說法是“新冠后癥狀”或“新冠肺炎長期癥狀”。也有人根據英文名稱,叫它長新冠(long Covid)。
目前世界衛生組織(WHO)對新冠長期癥狀(Long COVID-19)的官方臨床定義是:感染新冠后3個月仍然存在或逐步發展起來的新癥狀,持續超過2個月,且無法用其他原因解釋。

2021年8月《自然》期刊旗下的《科學報告》刊登了一篇名為《超過50種新冠肺炎長期影響:一項系統回顧與meta分析》的研究報告。該研究共確認了55種長期癥狀,其中,最常見的5種是疲勞(58%)、頭痛(44%)、注意力障礙(27%)、脫發(25%)和呼吸困難(24%)。此外還有嗅覺和味覺喪失、咳嗽、關節疼痛等。

警惕長新冠!或可造成人體臟器損傷
疫情三年以來,越來越多的證據表明,新冠不只是一種呼吸系統疾病,而是會影響人體多個組織和器官。
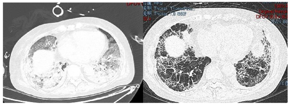
肺纖維化高發

《Nature Medicine》2021年發表了“Post-acute COVID-19 syndrome”,研究指出呼吸困難在60-100天的隨訪期內的發生率為42%-66%,有6.6%的患者因持續低氧血癥需要補充氧氣。患者出院后3個月評估發現約25%的輕度至中度病例存在纖維化,在重癥病例居多的隊列中,約65%的康復者存在肺纖維化。
導致長期肝損傷

2022年12月1日,美國波士頓大學醫學院的研究人員在北美放射學會(RSNA)年會上發表的一項題為“COVID-19 Patients Show Liver Injury Months After Infection”的新研究。該研究表明,感染新冠,與肝臟硬度增加有關,可能導致長期的肝損傷。
糖尿病風險增加40%
根據醫學期刊《柳葉刀·糖尿病與內分泌學》2022年3月發布的研究揭示,在過去一年里感染新冠并痊愈的患者,較從未感染新冠的對照人群相比,新確診糖尿病的大概概率高出40%。用通俗的語言來講,大概有1%的新冠患者如果不感染病毒,很有可能不會發展成糖尿病。

冠心病、中風的風險會更高

2022年2月,《自然·醫學》雜志中的一篇論文表示,美國研究人員于2020年3月1日至2021年1月15日期間,將153760名新冠檢測呈陽性的感染者,與兩個共涉及超1100萬人的對照組進行比較。研究發現,新冠患者在感染的30天至1年內,發生心血管疾病的風險顯著增加,包括腦血管疾病、心律失常、缺血性和非缺血性心臟病、心肌炎、心力衰竭和血栓栓塞疾病。
急性睪丸損傷

近日,香港大學袁國勇團隊在倉鼠中進行了一項實驗。倉鼠通過鼻內感染新冠病毒后,精子數量和睪酮水平在第4-7天急劇下降,并出現睪丸萎縮、體積和重量減小。血清性激素水平在感染后42-120天顯著降低。
干細胞讓新冠及后遺癥修復成為可能
針對新冠病毒對患者多臟器的傷害,全球醫療專家團隊一直在努力探索更有效的康復方式,而帶著“修復”“再生”光環的干細胞為人類修復新冠患者臟器損傷創造了可能。
它不僅能促進損傷組織的再生與修復,還擁有良好的免疫調節能力,通過調控免疫細胞的增殖、分化和功能狀態, 調節炎癥因子水平, 對于各種炎癥相關疾病具有很好的應用前景。
疫情以來,國內外在干細胞治療新冠肺炎及其后遺癥領域相繼有研究成果輸出。
國際干細胞治療案例

阿聯酉干細胞中心的數據顯示,他們開發的干細胞療法(UAECell19)已經幫助5000名患者從新冠病毒感染中恢復。經過試驗,研究人員得出結論,與接受標準治療的患者相比,干細胞療法(UAECell19)能將住院時間從22天縮短到6天。進一步的分析顯示,接受干細胞治療的患者比接受標準治療的患者在7天內恢復的可能性高3.1倍,接受干細胞治療的患者中,有67%的患者將他們的恢復歸功于新療法。
美國Camillo Ricordi等報道了一項納入24例危重型COVID-19相關ARDS患者的隨機、對照、雙盲研究,結果表明臍帶間充質干細胞輸注能顯著改善患者存活率并縮短治療時間。

對于新冠肺炎后遺癥,2020年8月1日起,日本呼吸綜合征學會一直在進行關于新冠肺炎后遺癥的研究。9月,采集已接受新冠肺炎治療但有后遺癥的患者的脂肪組織間充質干細胞。患者每2-4周接受3次靜脈注射2億個干細胞。治療結果發現患者肺功能、氧合指數、炎癥水平、疼痛程度等癥狀均得到緩解。
國內干細胞治療案例
新冠疫情爆發后不久,干細胞就被列入我國抗擊新冠肺炎的“國家科技攻關緊急專項”。2021年4月,我國首個《間充質干細胞治療新型冠狀病毒肺炎專家共識》發布,強調了下一步深入開展干細胞治療新冠肺炎大樣本臨床研究的必要性。為國內間充質干細胞治療新冠肺炎的臨床研究和臨床實踐提供了規范和指導。

北京佑安醫院招募的7例新冠病毒肺炎患者(2例輕癥、4例重癥、1例危重癥)接受單次靜脈間充質干細胞治療,結果顯示,移植14天內,間充質干細胞治療顯著改善了7例患者的肺功能,并且沒有明顯的不良反應。值得一提的是,在間充質干細胞治療后2天內,所有患者肺功能和癥狀明顯改善,治療后2-4天內,所有患者全部癥狀包括:高熱、虛弱、呼吸短促、血氧飽和度低均消失,靜息血氧飽和度≥95%。2例輕癥患者和1例重癥患者在治療后10天內痊愈出院。
2022年2月,王福生院士團隊公布了使用人臍帶間充質干細胞(UC-MSCs)治療COVID-19重癥患者隨訪1年的結果,文章發表于《柳葉刀》子刊——EBioMedicine。此前,國內外尚無關于人臍帶間充質干細胞治療新冠肺炎患者長期隨訪數據的報道,這是全球第一個,也是最大的一個前瞻性長期隨訪研究的間充質干細胞治療嚴重新冠肺炎患者的臨床試驗。

結果顯示:人臍帶間充質干細胞給藥對新冠肺炎患者肺部病變和癥狀的恢復具有長期益處,且患者癥狀更輕和生活質量更好,睡眠困難、日常活動和數字評定量表評分均得到顯著改善。
除此之外,全球還有多個項目在進行新冠肺炎患者的干細胞治療研究,這些項目的研究成果也初步證實了干細胞療法的安全性和可行性,干細胞已經成為了不可或缺的抗疫創新療法。相信在全球科學家的共同努力下,干細胞療法將為飽受新冠及其后遺癥折磨的患者帶來康復的希望。
參考文獻:
[1]https://www.einpresswire.com/article/532284733/adult-stem-cell-therapy-for-covid-19-sequelae-begins-in-japan-for-the-first-time-in-the-world
[2]When stem cells meet COVID-19: recent advances, challenges and future perspectives
[3]https://mp.weixin.qq.com/s/Mk0ufS8wGaXUewUX4ZvWJA
[4]https://mp.weixin.qq.com/s/X62iHIVng1C18UfBTvH87A
[5]世界衛生組織.冠狀病毒病:COVID-19長期影響[EB/OL].(2021-12-16)[2022-12-26].
https://www.who.int/zh/emergencies/diseases/novel-coronavirus-2019/question-and-answers-hub/q-a-detail/coronavirus-disease-(covid-19)-post-covid-19-condition
[6]Global Burden of Disease Long COVID Collaborators, Wulf Hanson S, Abbafati C, Aerts JG, Al-Aly Z, Ashbaugh C, Ballouz T, Blyuss O, Bobkova P, Bonsel G, Borzakova S, Buonsenso D, Butnaru D, Carter A, Chu H, De Rose C, Diab MM, Ekbom E, El Tantawi M, Fomin V, Frithiof R, Gamirova A, Glybochko PV, Haagsma JA, Haghjooy Javanmard S, Hamilton EB, Harris G, Heijenbrok-Kal MH, Helbok R, Hellemons ME, Hillus D, Huijts SM, Hultstr?m M, Jassat W, Kurth F, Larsson IM, Lipcsey M, Liu C, Loflin CD, Malinovschi A, Mao W, Mazankova L, McCulloch D, Menges D, Mohammadifard N, Munblit D, Nekliudov NA, Ogbuoji O, Osmanov IM, Pe?alvo JL, Petersen MS, Puhan MA, Rahman M, Rass V, Reinig N, Ribbers GM, Ricchiuto A, Rubertsson S, Samitova E, Sarrafzadegan N, Shikhaleva A, Simpson KE, Sinatti D, Soriano JB, Spiridonova E, Steinbeis F, Svistunov AA, Valentini P, van de Water BJ, van den Berg-Emons R, Wallin E, Witzenrath M, Wu Y, Xu H, Zoller T, Adolph C, Albright J, Amlag JO, Aravkin AY, Bang-Jensen BL, Bisignano C, Castellano R, Castro E, Chakrabarti S, Collins JK, Dai X, Daoud F, Dapper C, Deen A, Duncan BB, Erickson M, Ewald SB, Ferrari AJ, Flaxman AD, Fullman N, Gamkrelidze A, Giles JR, Guo G, Hay SI, He J, Helak M, Hulland EN, Kereselidze M, Krohn KJ, Lazzar-Atwood A, Lindstrom A, Lozano R, Malta DC, M?nsson J, Mantilla Herrera AM, Mokdad AH, Monasta L, Nomura S, Pasovic M, Pigott DM, Reiner RC Jr, Reinke G, Ribeiro ALP, Santomauro DF, Sholokhov A, Spurlock EE, Walcott R, Walker A, Wiysonge CS, Zheng P, Bettger JP, Murray CJL, Vos T. Estimated Global Proportions of Individuals With Persistent Fatigue, Cognitive, and Respiratory Symptom Clusters Following Symptomatic COVID-19 in 2020 and 2021[J]. JAMA. 2022 Oct 25;328(16):1604-1615.
[7]Xu E, Xie Y, Al-Aly Z. Long-term neurologic outcomes of COVID-19[J]. Nat Med. 2022 Nov;28(11):2406-2415.
[8]Aluganti Narasimhulu C, Singla DK. Mechanisms of COVID-19 pathogenesis in diabetes[J]. Am J Physiol Heart Circ Physiol. 2022 Sep 1;323(3):H403-H420.
[9]Thompson EJ, Stafford J, Moltrecht B, Huggins CF, Kwong ASF, Shaw RJ, Zaninotto P, Patel K, Silverwood RJ, McElroy E, Pierce M, Green MJ, Bowyer RCE, Maddock J, Tilling K, Katikireddi SV, Ploubidis GB, Porteous DJ, Timpson N, Chaturvedi N, Steves CJ, Patalay P. Psychological distress, depression, anxiety, and life satisfaction following COVID-19 infection: evidence from 11 UK longitudinal population studies[J]. Lancet Psychiatry. 2022 Nov;9(11):894-906.
掃碼添加官方微信