導讀:近年來干細胞治療為中風康復提供了革新路徑,通過植入具有分化潛能的干細胞,旨在修復受損神經組織,促進神經再生與重塑。多項研究表明,干細胞能有效改善中風后的運動功能障礙,提高患者的生活自理能力。干細胞治療已展示出成為中風后遺癥治療的新希望,正引領著神經科學領域的變革潮流。
中風,也稱為腦卒中,是一種急性腦血管疾病,可導致腦部血流受阻或出血,造成腦組織損傷和功能障礙。中風后,患者往往會遭受運動、語言和認知功能的損害。
中風的癥狀包括突然的面部、手臂或腿部無力,尤其是身體的一側;言語不清、理解困難;視力模糊;頭痛劇烈;行走困難;失去平衡或協調;以及突然的嚴重頭痛。如果發現這些癥狀,應立即就醫,因為中風是緊急醫療情況,及時治療可以減少腦損傷和提高恢復的可能性。
- 相關閱讀請瀏覽(中風是什么-癥狀、類型、診斷和治療)

中風的治療方法
目前,中風的治療方法包括藥物治療、物理治療、手術治療,以及新興的干細胞治療。遺憾的是,這些方法并非對每個患者都有效,更重要的是:
物理治療和康復訓練對于完全恢復中風前的神經功能狀態效果有限。長期服用藥物則會造成消化系統不適、出血風險等。手術治療如動脈搭橋術等雖然旨在恢復血流,但手術本身存在風險,且并非所有患者都適合手術治療。
4項研究147例患者證實:干細胞治療中風安全有效!
近年來,隨著再生醫學的發展,干細胞治療中風作為一種新興的治療方法,利用干細胞的自我更新和分化潛能,為中風患者提供新的修復策略。
本文通過分析總結4項干細胞治療中風患者的臨床試驗結果,從而評估干細胞移植作為中風患者的潛在治療方法的安全性和有效性。
①臨床試驗一:干細胞聯合綜合康復治療對腦出血后遺癥的治療效果
2012年,解放軍第251醫院的科研團隊在《中國組織工程研究》中報道了臍帶來源的間充質干細胞聯合綜合康復治療對腦出血后遺癥的治療效果。【1】

腦出血患者45例按照入院單雙日分為2組,治療組22例,對照組23例。常規治療10-18天后,存在不同程度的后遺癥,治療組接受人臍帶間充質干細胞移植及康復治療,對照組僅給予康復治療。
有效性評估
1.肢體運動功能改善
- 移植后1個月較移植前差異有顯著性意義(P<0.05),隨著時間的延長差異性更為顯著。
- 治療后1,3,6及12個月同期相比,治療組Fugl-Meyer評分顯著高于對照組(P<0.05)。

2.日常生活活動能力改善
- 治療組移植后1個月改良Barthel指數顯著高于移植前(P<0.05),隨著時間的延長差異性更為顯著。
- 治療后1,3,6,12個月同期相比治療組改良Barthel指數顯著高于對照組(P<0.05)。

3.顱腦MRI范圍縮小
兩組治療后6,12個月分別檢查顱腦MRI與治療前比較腦部病灶范圍均縮小,但是治療組治療前后及同期治療后與對照組比較病 灶范圍縮小的程度更為明顯,差異有顯著性意義(P<0.05)。

安全性評估:所有患者均完成治療過程,并獲得12個月的隨訪。移植后24h內有2例感胸悶及發熱,觀察48h后自然恢復。所有患者康復治療后6,12個月分別檢查各項生化指標基本正常,無特殊異常反應。
綜上所述,兩組治療后不同時間點Fugl – Meyer評分與改良Barthel指數高于治療前,治療組高于對照組,肢體運動和日常生活能力也得到改善。治療組3個月時功能改善更顯著,配合康復治療有協同優勢。臍帶間充質干細胞移植治療腦出血后遺癥安全有效。
②臨床試驗二:干細胞治療慢性中風的安全性和初步療效的I/II期研究
2019年9月9日,加州大學圣地亞哥分校的臨床研究人員在行業期刊《Stroke》上發表了一篇關于《靜脈注射同種異體間充質干細胞治療慢性中風的安全性和初步療效的I/II期研究》的研究成果。【2】

有36名受試者入組并于2011年3月14日至2016年12月15日接受治療。
有效性評估
- 所有受試者在6個月和12個月的隨訪中,國立衛生研究院卒中量表、BI、簡易精神狀態檢查和老年抑郁量表評分均有所改善。
- BI的變化表明具有臨床效用,輸注后6個月時增加6.8分,12個月時增加10.8分(P<0.001),實現良好功能結果(Barthel評分≥95)的患者比例從基線時的11.4%(4/35)增加到6個月時的9/33(27.3%),12個月時增加35.5%(11/31)。
安全性評估:共報告了15起嚴重不良事件。這些不良事件性質廣泛,例如感染、血管疾病和疼痛綜合征。所有嚴重不良事件均被認為與研究產品無關或不太可能相關。
結論表明,在慢性中風和嚴重功能缺陷患者中靜脈輸注同種異體缺血耐受間充質干細胞是安全的,并表明行為有所改善。
③臨床試驗三:靜脈注射間充質干細胞治療缺血性中風的療效和安全性
2021年1月20日,韓國在行業期刊《Neurology?》上發表了一篇關于《靜脈注射間充質干細胞治療缺血性中風的療效和安全性》的研究成果。【3】

最終納入60例患者,其中15例為對照組,39例為干預組。兩組在年齡、血管危險因素、卒中前mRS評分、卒中機制、卒中治療、康復持續時間和卒中嚴重程度方面匹配良好,無統計學差異。
有效性評估
- 兩組間主要終點事件90天mRS評分沒有統計學差異(P=0.732)。次要終點事件中,運動功能的分析結果顯示,與對照組相比,MSC組的MI腿部評分有顯著改善(P=0.023),提示干預治療對于改善腿部運動功能有顯著療效。
- MSC組的FMA評分較對照組有顯著改善,提示干細胞治療對于整體運動功能的改善可能有潛在價值。

因患者基線損傷程度不同,故FMA評分的改善程度也不相同。但大多數恢復程度>50%或>70%即恢復較好的患者都是MSC組,提示注射間充質干細胞療法對運動功能改善更明顯。

根據PREP分析,在隨訪評估中,對照組預測預后較差的患者均未發現關于FMA-T、FMA-UL或FMA-LL重要的臨床差異性改變。
相反,MSC組中約三分之一預測預后較差的患者為良好反應者,FMA-T、FMA-UL和FMA-LL的重要臨床差異性改變分別為31.6%、26.3%和42.1%,其中MSC組FMA-LL反應良好的比例明顯高于對照組(P<0.05)。在PREPII分析中也觀察到了類似的發現。這表明經間充質干細胞治療的患者整體運動功能恢復更好,尤其是下肢的運動功能恢復顯著優于對照組,且具有統計學意義。

安全性評估:沒有發生嚴重的治療相關不良事件。
綜上所述,在慢性嚴重卒中患者中,預先調節的自體MSC和自體血清的IV應用是可行且安全的。并且確實在詳細的功能分析中觀察到腿部運動改善。
④臨床試驗四:干細胞治療急性腦卒中后運動功能完全恢復
2021年12月23日,中國臺灣花蓮慈濟醫院在國際期刊《Cell Transplantation》上發表了一篇關于《同種異體人臍帶血單核細胞治療急性腦卒中后運動功能完全恢復:I期臨床試驗的初步結果》的研究成果。【4】

這是一項多中心I期安全性研究,研究對象為45-80歲急性卒中但未接受t-PA治療的患者。總共將招募6名參與者。本次研究主要研究一名46歲男性患者,ABO/Rh血型相同,HLA匹配評分為 6/6,MNC計數為2.63×108細胞/kg入組。
有效性評估
輸注臍帶血單核細胞后患者神經功能逐漸好轉,NIHSS評分由基線時的9分降至輸注UCB12個月后的1分(圖1A),Berg平衡量表評分由0增至48分(圖1B),Barthel指數評分由0增至90分(圖1C)。

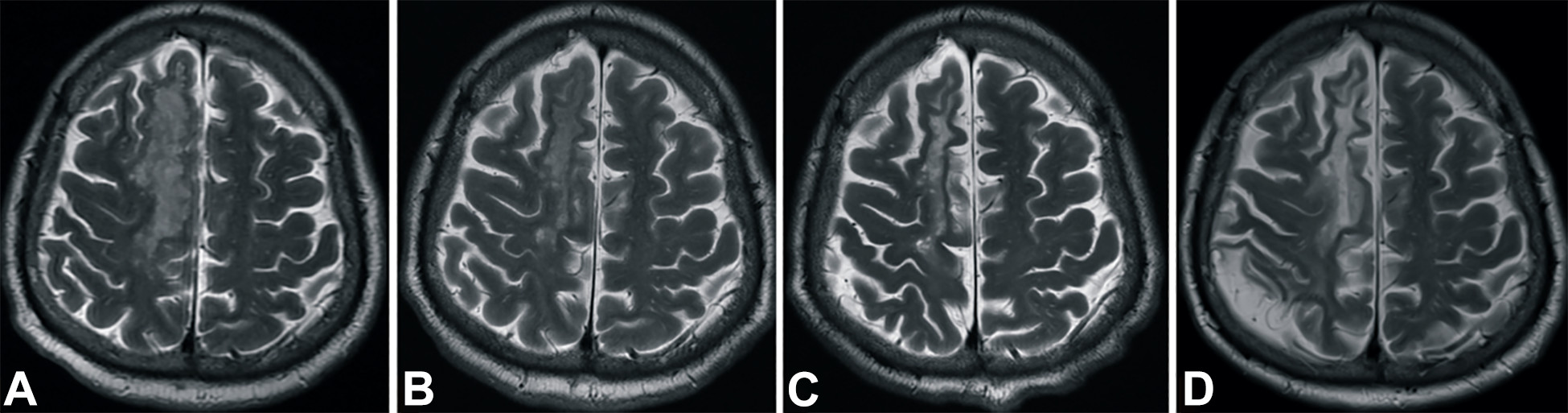
發病后2小時和8天行彌散加權成像(DWI)檢查,發現右側放射冠梗塞(白色信號增加),3個月后梗塞散在,6個月后消失(圖2A-D)。

梗塞發生后2小時、8 天、3 個月和 6個月獲得的T2加權圖像顯示右側放射冠白色強度增加(圖3A-D)。

安全性評估:12個月的觀察期內,患者腹部超聲檢查未發現脾腫大,但出現失眠及上呼吸道感染癥狀,予以藥物治療,療效滿意,未見嚴重不良事件。
這項初步研究表明,一名因缺血性中風而偏癱的成年患者在接受同種異體臍帶血治療后12個月內完全康復。
干細胞治療中風的臨床研究進展
截止2024年8月26日,在美國國立衛生研究院的最大臨床試驗注冊庫clinicaltrials.gov網站上注冊的有關干細胞治療中風臨床研究項目有91項,已完成的有33項。

國內注冊項目包括:
| 研究標題 | NCT 編號 | 地位 | 狀況 | 干預措施 | 贊助 | 學習類型 | |
|---|---|---|---|---|---|---|---|
| 1 | 自體內皮祖細胞移植治療慢性缺血性中風 | NCT02605707 | 完全的 | 中風 | 藥品:靜脈干細胞移植 | 中國南方醫科大學 | 介入 |
| 2 | 臍帶間充質干細胞治療缺血性中風 | NCT02580019 | 未知狀態 | 中風 | 生物:人臍帶間充質干細胞 | 軍事醫學科學院附屬醫院 | 介入 |
| 3 | 自體造血干細胞移植治療缺血性中風 | NCT01518231 | 未知狀態 | 中風 | 程序:自體造血干細胞移植 藥品:阿司匹林 藥品:華法林 更多6個 | 浙江醫院 | 介入 |
| 4 | 臍帶間充質干細胞治療缺血性中風 | NCT04811651 | 招聘 | 缺血性中風 | 生物:臍帶間充質干細胞 藥品:安慰劑 | 沈陽軍區總醫院 | 介入 |
| 5 | 自體骨髓間充質干細胞移植治療慢性中風 | NCT01714167 | 未知狀態 | 中風 | 遺傳:腦內干細胞移植 | 溫州醫科大學 | 介入 |
| 6 | 自體骨髓間充質干細胞移植治療慢性缺血性中風 | NCT02564328 | 未知狀態 | 中風 | 遺傳:靜脈干細胞移植 | 中國南方醫科大學 | 介入 |
| 7 | 干細胞移植治療大腦疾病的臨床試驗研究 | NCT01389453 | 已撤回 | 中風 | 程序:干細胞移植 | 中國武警總醫院 | 介入 |
| 8 | 自體骨髓間充質干細胞(BMSCs)移植治療缺血性中風 | NCT05850208 | 招聘 | 缺血性中風 | 生物:自體骨髓間充質干細胞移植 | 珠江醫院 | 介入 |
| 9 | 異體間充質干細胞治療缺血性中風幸存者試驗(ASSIST) | NCT04590118 | 未知狀態 | 缺血性中風 | 藥品:它-hMSC藥品:安慰劑 | 九芝堂美克(北京)細胞技術有限公司 | 介入 |
| 10 | 異體內皮祖細胞 (EPC) 對急性缺血性中風患者的安全性和初步療效 | NCT05993884 | 尚未招募 | 急性缺血性中風 | 藥品: iEPC組合產品:臨床標準治療(CST) | 艾萊夫醫療科技有限公司 | 介入 |
| 11 | 慢性缺血性腦卒中患者注射人前腦神經祖細胞(hNPC01)的安全性和耐受性研究 | NCT06299033 | 招聘 | 慢性缺血性中風 | 藥品:hNPC01 | Hopstem 生物技術公司 | 介入 |
| 12 | 自體骨髓基質細胞和內皮祖細胞移植治療缺血性中風 | NCT01468064 | 完全的 | 中風 大腦中動脈梗塞 | 遺傳:自體骨髓間充質干細胞移植 遺傳:自體 EPC 移植 遺傳:靜脈輸注安慰劑 | 中國南方醫科大學 | 介入 |
| 13 | 腦內移植神經干細胞治療缺血性中風 | NCT03296618 | 未知狀態 | 慢性缺血性運動性中風 | 藥品: NSI-566 | 蘇州諾瑞干細胞生物制藥有限公司 | 介入 |
| 14 | 缺血性中風的臨床計劃 | NCT04953663 | 未知狀態 | 中風 | 生物:它-hMSC | 北京大學第三醫院 | 介入 |
| 15 | 急性缺血性中風后血管內皮生長因子和內皮生長因子在血管生成中的作用 | NCT02157896 | 完全的 | 急性缺血性中風 | 上海市第六人民醫院 | 觀察 | |
| 16 | GD-iExo-003 對急性缺血性腦卒中的影響 | NCT06138210 | 招聘 | 急性缺血性中風 | 藥品:注射用人類誘導性多能干細胞來源的外泌體藥品:注射用人類誘導性多能干細胞來源的外泌體安慰劑 | 北京宣武醫院 | 介入 |
| 17 | 間充質干細胞移植對急性腦梗死患者的影響 | NCT04093336 | 招聘 | 腦梗塞 大腦中動脈腦梗塞 大腦前動脈腦梗塞 更多5個 | 生物:人臍帶間充質干細胞 生物:安慰劑其他:規范化治療 | 上海東方醫院 | 介入 |
| 18 | 人臍間質干細胞(19#iSCLife?-ACI)治療急性腦梗死的安全性和有效性 | NCT03186456 | 暫停 | 腦梗塞 | 生物:同種異體臍帶間充質干細胞(SCLnow 19#) 藥品:阿司匹林片 | 深圳市世科生物技術有限公司 | 介入 |
| 19 | 用于腦梗塞康復期患者的人臍帶間充質干細胞療法(19#iSCLife?-CI)。 | NCT03176498 | 暫停 | 腦梗塞 | 生物:同種異體臍帶間充質干細胞 藥品:阿司匹林腸溶片和阿托伐他汀鈣 | 深圳市世科生物技術有限公司 | 介入 |
結論
臨床研究結果顯示干細胞治療中風是具有臨床價值的,能夠促進受損神經細胞的保護和修復、促進內源性神經干細胞的增殖與遷移、促進突觸重塑、新血管形成,并整合到主要神經回路中,從而恢復受損的神經功能。
盡管干細胞治療總體上安全,仍存在一些潛在風險,例如,低熱和頭暈和輕微不適反應。因此,患者在接受干細胞治療前需要進行詳細的檢查和評估,并在專業醫生的指導下進行治療。
隨著研究的深入和技術的成熟,我們期待干細胞治療能夠在中風治療中發揮更大的作用。
相關閱讀:了解更多關于干細胞治療中風的新聞資訊!
【1】Yuan Jin-guo1, Feng Bin1, Cao Cang-zhu1, Han Shu-sheng1, Sun Yin-chen1, Liu Jian-ling2. Umbilical cord mesenchymal stem cell transplantation and rehabilitation treatment for cerebral hemorrhage sequela: 1 year follow-up [J]. Chinese Journal of Tissue Engineering Research, 2012, 16(14): 2656-2660.
【2】Stroke Volume 50, Number 10 https://doi.org/10.1161/STROKEAHA.119.026318
【3】Chung JW, Chang WH, Bang OY, et al. Efficacy and Safety of Intravenous Mesenchymal Stem Cells for Ischemic Stroke. Neurology. 2021;96(7):e1012-e1023.
【4】Lee T-K, Lu C-Y, Tsai S-T, et al. Complete Restoration of Motor Function in Acute Cerebral Stroke Treated with Allogeneic Human Umbilical Cord Blood Monocytes: Preliminary Results of a phase I Clinical Trial. Cell Transplantation. 2021;30. doi:10.1177/09636897211067447
免責說明:本文僅用于傳播科普知識,分享行業觀點,不構成任何臨床診斷建議!杭吉干細胞所發布的信息不能替代醫生或藥劑師的專業建議。
版權說明:本文來自杭吉干細胞科技內容團隊,歡迎個人轉發至朋友圈,謝絕媒體或機構未經授權以任何形式轉載至其他平臺,轉載授權請在網站后臺下方留言獲取。
掃碼添加官方微信